Spatially resolved multiplex detection links cellular phenotype and function to tissue architecture, allowing researchers to ask not just which markers are present, but how they localize and which neighbors they interact with in disease-related microenvironments. Sensitive, specific antibodies are the foundation of these workflows, because spatial readouts are only as reliable as the detection reagents behind them.
Choosing the right multiplexing strategy—and aligning it to your sample type, platform, and antibody reagents—is essential for generating meaningful spatial data. Many functionally important targets, such as phosphorylated signaling proteins, checkpoint ligands, or cytokines, are expressed at low levels and require signal amplification to be reliably detected in complex tissues, a capability that is not supported with all multiplexing workflows.
|
For FFPE tissues that require sensitive, spatially resolved detection with amplification, SignalStar® Multiplex IHC provides an 8‑plex solution in just 2 days. |
This blog highlights commonly used multiplex spatial biology platforms and techniques, and describes how to choose CST® antibodies and assays that are compatible with your workflow.
Platform, Workflow, & Sample Type: The Antibody Compatibility Trifecta
For most discovery and translational studies, compatibility with existing platforms and workflows is a primary consideration—scientists must maximize scarce patient samples and cannot afford trial‑and‑error method development on one‑of‑a‑kind tissues. To achieve success, you’ll need to confirm which antibody format is compatible with your sample type, preferred multiplexing technique, and platform. Doing this work upfront helps ensure that high‑value samples are used efficiently and that labs can scale from feasibility studies to larger cohorts without redesigning workflows.
Antibody compatibility needs to be considered at three levels:
-
Platform: Common platforms include BOND RX and BOND RXm Automated Stainers by Leica Biosystems, Cell DIVE Multiplex Imaging Solution by Leica Microsystems, CellScape Precise Spatial Proteomics Platform by Bruker, COMET System by Bio-Techne Spatial (formerly Lunaphore), ONCORE PRO X by Biocare Medical, Orion Spatial Biology Platform by Rarecyte, PhenoCycler Fusion 2.0 by Akoya Biosciences, etc.
-
Workflow: Multiplexing techniques include chromogenic vs fluorescent staining; cyclic or sequential immunofluorescence (e.g., CycIF, seqIF); tissue‑based mass spectrometry, amplification strategy, etc.
-
Sample Type: Tissue samples for spatial biology are from a variety of species and are often prepared either formalin-fixed, paraffin-embedded, or fixed-frozen.
For example, this means the antibody conjugates verified as compatible with the Cell DIVE Multiplex Imaging Solution will not always perform the same for the COMET platform. In addition, not all antibodies validated for use in human tissue will also work in mouse tissue, and not all antibodies that work in FFPE tissue will work in frozen tissue. Multiplex panels, therefore, must be built using antibodies with demonstrated performance in the relevant platform, workflow, species, and sample preparation.
Finally, signal amplification methods—such as tyramide‑based chemistry or oligo‑driven amplification as in SignalStar® Multiplex IHC—help reveal low‑abundance functional markers without sacrificing spatial resolution, and must also be compatible with the antibody selected for your experiment. Amplification is especially valuable in immuno‑oncology, neurobiology, and other mechanistic studies, where detecting subtle pathway activation, rare cell states, or post‑translational modifications (PTMs) in the context of intact microenvironments.
CST antibodies are the reliable foundation for multiplex spatial biology assays and workflows. In-house validation with species- and application-specific testing ensures all antibodies meet strict performance criteria. This allows you to build multiplex panels for FFPE or frozen tissue, knowing your spatial readouts will be specific, reproducible, and scalable across platforms and workflows.
CST Antibody Platform Compatibility
Compatibility with existing instruments, staining workflows, and spatial biology platforms is key to avoid re‑validating entire pipelines and to maximize data from limited tissue blocks.
|
Kelsey Goldman |
"We test our antibodies in real tissue types, applications, and platforms so you can choose the reagent that will work for your experiment. If you're unsure which product fits your sample, platform, or workflow, our technical experts are always available to talk through your experiment and help you find the right option." |
While all CST reagents are platform-agnostic, the list of common platforms below can help you navigate antibody selection and determine the CST product that will work best for your instrumentation, sample type, and experimental workflow.
| Spatial Biology Platforms and CST Product Compatibility | ||
| Platform | Multiplexing Workflow | CST Solution |
| BOND RX & BOND RXm Automated Stainers Leica Biosystems |
Automated staining platform for mIHC and mIF on FFPE or frozen tissue, enabling standardized, high-throughput assays across large sample batches. | SignalStar Multiplex IHC |
| Cell DIVE Multiplex Imaging Solution Leica Microsystems |
Cyclic mIF using iterative stain–image–inactivate cycles to measure 60+ biomarkers on whole-slide FFPE or frozen tissue with subcellular resolution. | Primary antibody-fluorophore conjugates for FFPE tissue (IHC-P) or frozen tissue (IF-F) |
| CellScape Precise Spatial Proteomics Platform Bruker |
High-plex, cyclic mIF imaging with integrated fluidics and quantitative analysis of 30+ markers at single‑cell resolution on whole‑slide FFPE or frozen tissue. | Primary antibody-fluorophore conjugates for FFPE tissue (IHC-P) or frozen tissue (IF-F) |
| COMET System Bio-Techne Spatial (formerly Lunaphore) |
Automated, fluidics‑based cyclic mIF platform that performs iterative staining and imaging of FFPE or frozen tissue using 20–40+ markers per slide. | Primary unconjugated antibodies for FFPE tissue (IHC-P) or frozen tissue (IF-F) & Secondary Antibody-Fluorophore Conjugates for frozen tissue (IF-F) |
| ONCORE PRO X System Biocare Medical |
Bench‑top, fully automated staining platform that supports mIHC, mIF and ISH workflows on FFPE tissue sections. | SignalStar Multiplex IHC |
| Orion Spatial Biology Platform Rarecyte |
Single‑round, whole‑slide high-plex mIF imaging platform for up to 20 channels for high-throughput spatial proteomics on FFPE or frozen tissue | Primary antibody-fluorophore conjugates for FFPE tissue (IHC-P) or frozen tissue (IF-F) |
| PhenoCycler-Fusion 2.0 System Akoya Biosciences |
High-plex spatial proteomics platform combining oligo‑ barcoded antibodies with automated cyclic mIF to profile 10-100+ biomarkers on FFPE or frozen tissue. | BSA- and Azide-free antibodies for FFPE or frozen tissue |
In addition to the off-the-shelf products above, CST Custom Conjugation & Labeling Services for biotin, fluorophores, oligos, and more can be ordered in the conjugation format that is compatible with your platform and workflow.
CST Antibody Workflow Compatibility
Different multiplex techniques offer distinct trade‑offs in plex level, dynamic range, throughput, and platform fit, so it is important to choose the detection workflow that best matches the biological question, signal amplification needs, and instruments available to you. The sections below highlight when to use multiplex chromogenic IHC, multiplex IF, tissue‑based mass spectrometry, and digital spatial profiling (DSP), with notes on FFPE or frozen tissue compatibility and typical platforms.
Multiplexed Fluorescent Immunohistochemistry (mIHC) or Immunofluorescence (mIF)
Multiplex IHC or IF uses antibodies and fluorophores to detect multiple proteins simultaneously. Standard single‑round mIHC/IF typically detects 4–5 markers per slide on conventional fluorescence microscopes, while multispectral microscopes can separate up to ~8 markers per ROI (~0.66 mm²) using spectral unmixing.
Multiplex IF can be performed using directly conjugated antibodies, unconjugated primary antibodies combined with conjugated secondary antibodies, or using amplification methods like TSA or the SignalStar mIHC assay.
Cyclic or serial mIF approaches (e.g., CyCIF, SeqIF, IBEX) repeatedly stain, image, and strip or inactivate fluorophores to achieve much higher plex levels, often 30–60 markers per sample, while preserving spatial context—albeit with increased protocol complexity, more complex data handling, and potential tissue stress. These methods are often implemented on platforms like Cell DIVE, COMET, and other cyclic IF systems, where CST antibodies serve as core building blocks for high‑plex panels across FFPE and frozen tissues.
SignalStar Multiplex IHC combines antibodies, oligonucleotides, and fluorophores to deliver amplified, high‑plex detection of multiple proteins in FFPE tissue while preserving spatial context and tissue architecture. This oligo‑based workflow enables simultaneous detection of phenotypic and low‑abundance functional markers, producing up to 8‑plex data in just 2 days without antibody cycling, thereby conserving precious tissue. SignalStar mIHC can be run using a compatible autostainer protocol on the BOND RX and BOND RXm Automated Stainers by Leica Biosystems, reducing hands‑on time—automated runs can be completed in approximately 6 hours of instrument time, compared with 14–16 hours for manual protocols.

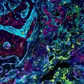
SignalStar® oligo-based multiplex immunohistochemical analysis of paraffin-embedded ductal breast carcinoma using LRRC15 (E4X8J) Rabbit Monoclonal Antibody (594; green), CD36 (E8B7S) Rabbit Monoclonal Antibody (647; yellow), B7-H4 (D1M8I) Rabbit Monoclonal Antibody (750; red), COL1A1 (E8F4L) Rabbit Monoclonal Antibody (647; cyan), and DAPI #4083 (blue). Staining was performed on the BOND RX autostainer by Leica Biosystems.
Key considerations for mIF include:
-
Fluorophore selection and spectral overlap: Fluorophores must be chosen to minimize bleed‑through and autofluorescence, especially in FFPE tissues, often favoring narrow‑band emissions and spectral unmixing.
-
Quantitation: The broad linear dynamic range of fluorophores enables quantitative or semi‑quantitative assessment of marker intensity, which is particularly valuable for detecting subtle shifts in pathway activation or protein phosphorylation.
-
Signal amplification: Tyramide signal amplification (TSA) and SignalStar mIHC can boost sensitivity for low‑abundance targets, but may introduce blocking effects or epitope masking if not properly optimized, necessitating careful control experiments.
Multiplexed Chromogenic Immunohistochemistry
Chromogenic IHC uses enzyme‑linked detection of colored substrates such as DAB or AEC to visualize targets on tissue sections. Modern multiplex chromogenic IHC extends this concept by using distinct chromogens and carefully optimized protocols to detect approximately 3–5 markers simultaneously in 10–15 hours. The most commonly used platforms include the BOND RX and BOND RXm Automated Stainers by Leica Biosystems and the Ventana DISCOVERY ULTRA instrument by Roche for FFPE tissue, which support whole‑slide imaging on standard brightfield scanners, and offer a semi‑quantitative dynamic range.
Key considerations for mIHC include:
-
Semi-quantitative: Most chromogenic substrates have a limited dynamic range and, therefore, are only semi-quantitative.
-
Low-plex: Due to the limited number of chromogenic substrates, typically 3–5 markers can be combined when studying marker co-expression.
-
Familiar and Affordable: The workflow is relatively affordable and easy, leverages established protocols, and is also readily automatable for high-throughput applications.
Tissue‑Based Mass Spectrometry
Tissue‑based mass spectrometry uses primary antibodies labeled with metal tags, rather than fluorophores, to enable visualization of 40 or more markers in parallel, with staining possible in just 12 hours at 4°C. Like multiplex IF, it is used to analyze distinct (1mm2) ROIs and provides a quantitative readout measurement of marker intensity based on metal ion counts.
Webinar: Critical Considerations For Optimizing Imaging Mass Cytometry
The main approaches are multiplexed ion beam imaging by time‑of‑flight (MIBI‑TOF) and imaging mass cytometry (IMC), both of which use distinct mechanisms to generate ions from each ROI prior to TOF analysis. Because metal tags are resolved by mass rather than wavelength, tissue‑based mass spectrometry avoids common fluorophore‑related limitations such as spectral overlap, autofluorescence, and photobleaching, but requires specialized, costly instrumentation and extensive training to operate and interpret.
Use CST BSA- and Azide-free antibodies, which are ready for custom metal conjugation, when building high‑plex MIBI‑TOF or IMC panels.
Digital Spatial Profiling (DSP)
Digital spatial profiling, such as GeoMx Digital Spatial Profiler by NanoString, is an oligo‑based technique that uses primary antibodies bound to UV-cleavable fluorescent DNA tags to quantify markers.6 While ROIs are smaller (0.28mm2) compared to multispectral microscopy and tissue-based mass spectrometry, DSP can detect more markers (in practice 40-50, but theoretically as many as 800) in less time (1 hr) using just a single round of staining. The main limitation of DSP is that it does not produce an image. Instead, up to 4 fluorophore-labeled antibodies are used to select ROIs before the cleaved DNA tags are transferred to a multi-well plate for analysis.
Use CST BSA- and Azide-free antibodies, which are ready for oligo-conjugation, to build DSP-compatible panels.
Antibody Selection for Multiplex Experiments
Regardless of platform or workflow, success in multiplex imaging and spatial biology depends on using highly specific, assay‑validated antibodies matched to the sample preparation and species reactivity. Selecting antibodies validated in the intended assay (direct conjugates or secondary detection), matched to FFPE or frozen tissue, and confirmed for the relevant species (e.g., human, mouse, non‑human primate) is essential to avoid cross‑reactivity and misleading readouts.
CST offers a broad portfolio of antibodies validated for FFPE tissue (IHC-P) and frozen tissue (IF-F), multiplex/spatial biology solutions such as SignalStar Multiplex IHC, and carrier-free antibodies for custom conjugation. Every CST product is validated in‑house using a unique suite of experiments for each clone, ensuring that validation reflects the target’s biological context, the application, and expected sample types. This commitment to product performance means CST antibodies deliver unsurpassed specificity, consistent performance from lot to lot, and high‑quality data—helping scientists move more quickly from experiment to insight.
- For FFPE tissue, use IHC-P validated antibodies, which have been extensively tested and shown to perform in tissues fixed with 10% neutral-buffered formalin (formaldehyde) and preserved using paraffin.
- For frozen tissue, use IF-F validated antibodies, which have been extensively tested and shown to perform in frozen tissue sections.
- Our Custom Antibody Conjugation & Labeling Services for biotin, fluorophores, oligos, and more enable you to order your favorite antibodies in the conjugation format that is compatible with your platform and workflow.
- Custom & Carrier‑Free Formulations of antibodies validated for your tissue type enable you to conjugate CST antibodies for platforms such as Akoya Phenocyler, tissue‑based mass spectrometry systems, and Nanostring DSP instruments.
If a preferred platform, workflow, or detection chemistry is not listed, you can leverage CST experts to help guide you. For multiplex panel design, platform‑specific antibody recommendations, or troubleshooting across mIHC, mIF, SignalStar, mass‑spec, or DSP workflows, contact CST Technical Support for one‑on‑one guidance.
Additional Resources:
-
Blog: Strategies for Successful Multiplex Immunofluorescence Experiments Using Conjugated Antibodies
-
CST resource center: Multiplexing and Spatial Biology
Select References
-
Taube JM, Sunshine JC, Angelo M, et al. Society for Immunotherapy of Cancer: updates and best practices for multiplex immunohistochemistry (IHC) and immunofluorescence (IF) image analysis and data sharing. J Immunother Cancer. 2025;13(1):e008875. Published 2025 Jan 8. doi:10.1136/jitc-2024-008875
25-OLI-21850


