The success of immuno-oncology therapeutics has opened the door to novel cancer elimination strategies, but we still have a ways to go before we can consider cancer a disease of the past. Having a strong understanding of how the immune system is activated and regulated is necessary for developing new approaches to direct it against cancer cells without triggering side effects like autoimmune disorders or cytokine storm.
However, the immune system is a highly complex biological network. It consists of diverse cell types that coordinate with one another to differentiate between a huge array of self and non-self antigens to eradicate pathogens, and also self-regulates to avoid an immune response against one’s own tissue. Understanding the delicate balance of this intricate system is more challenging than initially thought, and reliable tools are needed to help investigators understand its nuances to develop safe and effective therapies.
Discoveries elucidating the molecular and cellular biology of T cells have led to new immuno-oncology treatment strategies, including checkpoint inhibitors, adoptive cell therapy, and cancer vaccines.1 To study T cells in vitro, researchers must often stimulate T-cell activation and expansion, a process that can be achieved using different methods depending on desired research outputs:
- Long-Term T Cell Activation: Long-term T cell activation is often performed to study T cell proliferation, exhaustion, or differentiation, and is also useful when large populations of cells are necessary.
- Short-Term T Cell Activation: Immediate T cell activation is used for studying events that occur seconds to minutes after activation, including, for example, Zap-70 phosphorylation, ERK phosphorylation, calcium flux, transcriptional changes, etc.
Back to the Basics: What Is T Cell Activation?
Most current immuno-oncology therapies utilize T cells to attack neoplastic cells. Treatments can be used individually or in combination with other immuno-oncology therapeutics or conventional treatments like chemotherapy. Thus, improving our knowledge of how T cells are activated and our understanding of their interactions with other immune cells, along with the mechanisms used by cancers to evade the immune system, will open the door to the development of additional therapeutics.
In vivo, T cells are activated when they interact with antigen-presenting cells (APC) such as dendritic cells, which present peptide antigens to T cells in the context of major histocompatibility (MHC) molecules.2 The T cell receptor complex consists of the T cell receptor (TCR) itself, as well as multiple immunoreceptor tyrosine-based activation motifs (ITAMs) containing CD3 signaling chains. Recognition of peptide-MHC complexes on the surface of antigen-presenting cells by the TCR results in the phosphorylation of tyrosines located in the ITAMs of the CD3 receptor cytosolic tail. Co-stimulatory receptors like CD28 must also be engaged to keep the T cells activated and prevent them from becoming refractory. Activating cytokines can also modulate T cell activation by providing secondary and tertiary signals. The combination of the TCR signal, amplified by the co-stimulatory receptor, results in T cell activation, at which point the antigen-specific T cell population rapidly grows and differentiates.
In the lab, CD3 and CD28 agonist antibodies are often used to activate T cells because they mimic ligand engagement of both the TCR/CD3 complex and CD28 co-stimulatory receptor, causing downstream signaling leading to T cell activation and expansion.
Long-Term T Cell Activation Using Anti-CD3 / CD28 Antibody Kits
Long-term T cell activation can be used when a larger quantity of activated T cells is required, or when studying a biological process that occur over a period of days, such as differentiation or exhaustion. Human Anti-CD3/CD28 T Cell Activation Kit #70976 provides the validated, endotoxin and azide-free antibodies that are suitable for activating T cells in culture over several days.
%20CANCER/23-can-85595/23-CAN-85595_T%20cell%20activation%20blog_Fig%201.png?width=286&height=334&name=23-CAN-85595_T%20cell%20activation%20blog_Fig%201.png)
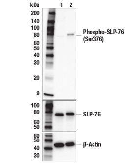
Western Blot analysis of extracts from Jurkat cells, untreated (lane 1) or treated with Human Anti-CD3/CD28 T Cell Activation Kit #70976 (30 min) (lane 2), using Phospho-SLP-76 (Ser376) (D7S1K) Rabbit mAb #92711 (upper), SLP-76 (E4N7E) Rabbit mAb #25361 (middle), or β-Actin (D6A8) Rabbit mAb #8457 (lower).
One-Step T-Cell Activation for Simpler Experimentation & Accurate Short-Term Timepoints
Early events of T cell signaling happen on the order of seconds to minutes after activation, and typically cannot be studied using traditional long-term T cell activation methods performed over a period of a few days. If you’re interested in measuring these events or if you’re looking for a rapid activation kit that requires less hands-on time, the Rapid-Act T Cell Activation Kit (Human, Anti-CD3/CD28) #88179 or Rapid-Act T Cell Activation Kit (Mouse, Anti-CD3/CD28) #86772 are a better choice. The Rapid-Act method of activation enables fine control of T cell stimulation time course experiments and is especially useful in mechanistic studies to understand signaling events that happen at the outset of the activation process.
Flow cytometric analysis of human peripheral blood mononuclear cells, untreated (left column) or treated with Rapid-Act T Cell Activation Kit (Human, Anti-CD3/CD28) #88179) (15 min; right column), using Phospho-SLP-76 (Ser376) (E3G9U) XP® Rabbit mAb (Alexa Fluor® 488 Conjugate) #47876 (top row) or concentration-matched Rabbit (DA1E) mAb IgG XP® Isotype Control (Alexa Fluor® 488 Conjugate) #2975 (bottom row), and co-stained with CD3 (UCHT1) Mouse mAb (APC Conjugate) #19881.
Like the traditional activation kit, these kits contain validated, endotoxin and azide-free antibodies needed to activate your T cells, but the CD3 and CD28 antibodies are combined in a single cocktail, specially formulated to pre-cluster the antibodies.
The pre-clustered antibodies enable T cell stimulation in just one incubation step. This minimizes hands-on time and washes, enables tighter control of activation time courses, and provides increased flexibility compared to other, traditional methods to stimulate T cell expansion. While protocols that leverage Dynabeads to activate T cells also allow one-step activation, they require an additional step to remove the beads from your sample prior to flow cytometry analysis to avoid compromising your data due to clogs, potentially reducing your activation yield and adding even more time to your experiment.
Decreasing the time between activation and sample analysis is crucial if you need to capture early and/or short-lived signaling events in your research. T cells activated using CST® Rapid-Act T Cell Activation Kits can also be used in T cell proliferation and exhaustion assays, so you’ll be able to investigate biological processes that occur earlier and later in the immune response.
What about using cell stimulation cocktails, such as the Cell Stimulation Cocktail (with Protein Transport Inhibitors) (500X) #23318 to chemically induce short-term T cell activation with phorbol 12-myristate 13-acetate (PMA) and ionomycin? Treating cells this way bypasses the T cell receptor when activating the downstream signaling cascade, making it less representative of the actual in vivo biology.
T Cell Activated. Now What?
Once your T cells have been activated, you are now ready to use applications like flow cytometry and immunoblots in your subsequent experiments. Our antibodies for western blot and flow cytometry are rigorously and independently validated for each application by CST scientists using the Hallmarks of Antibody Validation™, so you can focus on getting answers from your cell-based assays. These reliable, validated tools from CST make it easier for you to identify innovative ways you can prime the immune system to identify and attack cancer cells, bringing us closer to a day when cancer is a disease of the past.
Additional Resources
- Determine what other immune cells are initially in your sample with the human immune cell marker guide or mouse immune cell marker guide.
- Explore the interactive T Cell Receptor Signaling Pathway diagram.
Select References
- Waldman AD, Fritz JM, Lenardo MJ. A guide to cancer immunotherapy: from T cell basic science to clinical practice. Nat Rev Immunol. 2020;20(11):651-668. doi:10.1038/s41577-020-0306-5
- Shah K, Al-Haidari A, Sun J, Kazi JU. T cell receptor (TCR) signaling in health and disease. Signal Transduct Target Ther. 2021;6(1):412. Published 2021 Dec 13. doi:10.1038/s41392-021-00823-w
23-CAN-85595dk
G06


